
AICICIOIR® Plasma Pen
NF+ Technologie
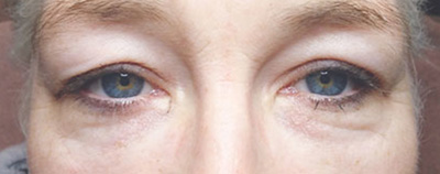
Ober- und Unterlidstraffung ohne OP – nicht nur für Frauen auch für Männer!
Der AICICIOIR® COSMETIC CORRECTOR ist die sanfte Alternative zur Haut straffenden Chirurgie und in seiner Kombination aus Plasma- und Niederfrequenztechnik bisher einzigartig auf dem Markt. Ganz ohne direkten Hautkontakt wirkt ein ionisierter Lichtbogen über die Pen-Spitze an der Hautoberfläche. Das Plasmalicht verdampft die Haut an gewünschter Stelle blitzartig und punktförmig und strafft die Umgebung. Das Verfahren ist schmerzarm und die Ergebnisse sind oft sofort sichtbar. Die Behandlung ist besonders schonend für den Körper.
Schon eine ambulante Behandlungen reicht aus, um den Blick zu öffnen, Augenlider zu straffen und Hautpartien um Mund und Nase zu glätten. Da kaum unschöne Schwellungen oder Rötungen entstehen, sind Sie schnell wieder fit für den Alltag.
Im AICICIOIR® COSMETIC CORRECTOR steckt eine ausgeklügelte Technologie, die über Monate intensiver Forschung entwickelt wurde. Plasmatechnik, Wirkweise und Design wurden dabei im Laufe einer umfassenden Testphase auf Elite-Level gebracht.
ANWENDUNGSGEBIETE
Straffere Haut und ein frischeres Aussehen dank Lifting ohne OP
Der AICICIOIR® COSMETIC CORRECTOR wird für zahlreiche Anwendungen eingesetzt. Sei es die deutliche Minderung von Akne-Narben oder die Glättung von Krähenfüßen – die unkomplizierte und schmerzfreie Behandlung unschöner Alterserscheinungen verschafft Ihnen innerhalb kurzer Zeit ein neues Aussehen.
- Ober- und Unterlidstraffung ohne OP
- Narbenverbesserung
- Minderung unschöner Pigmentierung (Alters-/Sonnenflecken, Leberflecken, Muttermale)
- Entfernung von Skin Tags
- Entfernung oder Korrektur von Permanent Make-up und kleinerer Tattoos
ERGEBNISSE – Der Vorher- und Nachher-Vergleich
Oberlidstraffung

VORHER

NACHHER
Oberlidstraffung

VORHER

NACHHER
Unterlidstraffung

VORHER

NACHHER
Entfernung von Hautanhängseln

VORHER

NACHHER
Entfernung von Pigmentflecken

VORHER

NACHHER
Halsstraffung

VORHER

NACHHER
Unteres Softfacelift

VORHER

NACHHER
Seiten- und Halslift

VORHER

NACHHER






